Zubaře šokoval objev na rentgenu pacienta. Něco takového ještě nikdy neviděl! Sdílí svůj příběh, aby tím ostatní poučil
Návštěva zubaře pro mnohé z nás není zrovna příjemnou záležitostí. Mnohdy se lidé raději vyhýbají ošetření, dokud bolest nepřesáhne únosnou hranici. Právě tak tomu bylo i u sedmatřicetiletého muže z Polska, který se měsíce potýkal s nepříjemnou bolestí zubů v dolní čelisti. Místo toho, aby situaci řešil hned, bolest ignoroval v naději, že sama odezní. Nakonec se však bolesti staly natolik nesnesitelnými, že ho donutily vyhledat odbornou pomoc.
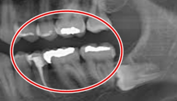
To, co následovalo, šokovalo nejen pacienta, ale i zkušeného zubního lékaře. Na rentgenovém snímku bylo vidět něco, co zubař ve své dlouholeté praxi nikdy předtím neviděl. Objevilo se tam něco, co by podle lékaře mohlo být zubem, ale realita byla mnohem složitější. Co odhalil lékař a jaké komplikace mohly nastat, kdyby pacient návštěvu zubaře ještě déle odkládal?
Otevřete si pokračování článku níže.






