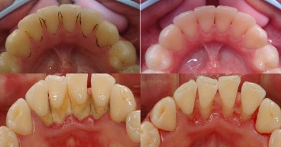
Boj proti zubnímu kameni nebyl nikdy jednodušší! Tohle musíte rozhodně vyzkoušet!

Publikováno 2. 2. 2021
Autor:
foto: facebook.com

Boj proti zubnímu kameni nebyl nikdy jednodušší! Tohle musíte rozhodně vyzkoušet! Podívejte se do naší galerie na to, co pro odstranění zubního kamene musíte udělat!

⇊ Více v galerii ⇊




zdroj: youi.cz